DIAGNOSTICA DIFFERENZIALE DELLE GONALGIE |
 |
| |
SINDROMI “DA SOVRACCARICO” DEL GINOCCHIO
TENDINITI/BORSITI DELLA ZAMPA D’OCA
TENDINITE ROTULEA
TENDINITE QUADRICIPITALE
TENDINITE POPLITEA
SINDROME DELLA BENDELLETTA ILEOTIBIALE DI MAISSAT
SINDROME FEMORO-ROTULEA
BORSITE PREROTULEA (GINOCCHIO DELLA LAVANDAIA)
|
| |
Le patologie da sovraccarico funzionale
Definizione
La ripetizione esasperata e continua nel tempo di alcuni gesti sportivi può comportare la comparsa di una specifica patologia definita appunto da "sovraccarico funzionale" o da "micro-traumatismo" per sottolineare la patogenesi dovuta al sommarsi di una serie pressoché infinita di traumi di minima entità.
Possono essere interessate quasi tutte le varie strutture dell'apparato locomotore, ma quelle più frequentemente colpite sono quelle tendinee sopratutto nel loro punto di collegamento con il tessuto osseo (tanto che un ulteriore sinonimo della malattia è quello di "patologia inserzionale"), delle cartilagini articolari e dell'osso.
Un'altra caratteristica tipica è che la maggior parte dei quadri patologici, derivando appunto dalla ripetizione di un gesto specifico, hanno sedi e manifestazioni tipiche per ogni sport (gomito del tennista, spalla del lanciatore, ecc.)
Classificazione
Riportiamo la classificazione sia in base alle strutture interessate che alla sede di lesione
Tendinopatie
Peritendiniti
Tendinosi
Tensinoviti ipertrofiche
Tendinopatie inserzionali
Rotture sottocutanee
Patologia cartilaginea
Erosione cartilagini articolari
Patologia ossea
Fratture da "stress"
In base alla sede di insorgenza della patologia:
Patologia della cuffia dei rotatori della spalla
Tendinopatie del gomito e dei flesso-estensori del polso e della mano
Sindrome retto-adduttoria (pubalgia)
Tendinopatia rotulea e del quadricipite
Tendinopatia achillea
Fascite plantare
Metatarsalgia
Fratture da stress
Cause e concause
Nella genesi della patologia da sovraccarico funzionale intervengono diversi fattori: alcuni la cui presenza è indispensabile affinché il fenomeno avvenga (cause), altri favorenti od aggravanti la patologia già comparsa (concause).
Le cause efficaci sono sostanzialmente due e sono strettamente correlate al gesto tecnico, all'esercizio svolto:
Intensità
Pur essendo per definizione una patologia da "microtrauma" il carico (atletico) deve essere sufficientemente intenso per innescare il meccanismo patogenetico.
Frequenza
Dal momento che si tratta di un meccanismo di sommazione di microtraumi, il gesto (atletico) che li causa deve essere ripetuto numerose volte (sia all'interno della singola seduta di allenamento che nel ciclo dei vari allenamenti).
Le concause possono essere intrinseche, cioè direttamente correlate alle caratteristiche dell'atleta od estrinseche cioè in relazione a fattori esterni.
Intrinseche
Difetti di assialità: un arto (ginocchio varo o valgo) o un segmento scheletrico (cifosi o scoliosi del rachide, piede piatto o cavo) possono presentare alterazioni delle normali curve fisiologiche: questo può comportare una eccessiva distribuzione del carico solo su determinati segmenti.
Dismetrie degli arti inferiori: una differenza di lunghezza tra un arto e l'altro di almeno 10-15 mm comporta una non corretta distribuzione del carico (ad esempio nella corsa) con conseguenti possibili tendinopatie a vari livelli.
Squilibri muscolari tra gruppi flessori ed estensori
Gesto atletico "non fisiologico" l'atleta può ripetere un gesto atletico non corretto: o per errore (e questo accade spesso negli atleti amatoriali) o perché il gesto viene "estremizzato" alla ricerca della massima prestazione soprattutto nei "top level" (ad esempio la ricerca di particolari effetti della palla nel lanciatore di baseball).
L'età: la comparsa dei fenomeni di sovraccarico è più frequente negli atleti "maturi" sia per fenomeni di sommazione in relazione alla durata della carriera sportiva, sia perché con l'età le strutture inserzionali sono meno resistenti ai carichi ripetuti ed hanno una minore capacità di recupero. Inoltre la presenza di esiti di precedenti traumi acuti possono facilitare la successiva comparsa della patologia da sovraccarico.
Estrinseche
Allenamento non corretto: carichi non bilanciati, errata periodizzazione, periodi di recupero insufficienti.
Materiali ed attrezzi non idonei: materiale di piste e palestre o troppo rigidi o troppo elastici, terreni dei campi di gioco troppo pesanti in inverno o troppo secchi in estate, attrezzi non adatti in assoluto o relativamente alla morfologia dell'atleta.
Tutte queste modalità possono essere efficaci ed agire nella quotidianità anche in individui sedentari (faccende domestiche, mouse ecc.)
Diagnosi e Terapia
Il sintomo classico è il dolore: dapprima insorge durante l'esecuzione ripetuta del gesto atletico specifico, poi può venire provocato dai normali movimenti della vita quotidiana ed infine, se non si interviene, è presente anche a riposo.
Una corretta diagnosi deve basarsi sia sullo studio biomeccanico del gesto e dei carichi di lavoro cui è sottoposto l'atleta, su una approfondita valutazione clinica e sulle comuni tecniche diagnostiche (Ecografia muscolo tendinea, Tomografia Computerizzata, Risonanza Magnetica Nucleare) utilizzate in traumatologia sportiva.
La terapia è innanzi tutto preventiva: vanno eliminate o minimizzate le concause che possono favorirne l'insorgenza, e se, nell'atleta evoluto, è difficile prescindere da carichi di allenamento frequenti ed intensi, questi vanno il più possibile periodizzati e alternati con opportuni periodi di scarico.
Una volta che la patologia si sia manifestata si impone un riposo funzionale della parte colpita associato al trattamento fisioterapico e quando necessario farmacologico.
|
| |
 
 |
| |
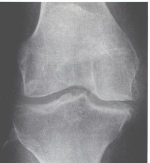
| Osteonecrosi
Una causa relativamente comune di gonalgia nelle persone anziana è l’osteonecrosi.
È più spesso interessato il condilo mediale, ma anche l’esterno ed il piatto tibiale possono essere colpiti.
Le donne sono colpite tre volte più degli uomini, in una fascia di età dai 60 anni in poi.
La maggior frequenza della localizzazione al condilo femorale mediale ha portato a considerare questa lesione come una forma di sofferenza della cartilagine articolare e dell'osso subcondrale e causata da "ipercarico" (eziologia meccanico-traumatica) o da una sofferenza vascolare (eziologia microvascolare).
SINTOMATOLOGIA
Dolore insorto improvvisamente sulla faccia mediale del ginocchio, con gonfiore e limitazione articolare.
Il dolore peggiora alla pressione, di notte e al movimento.
DIAGNOSI
|
In fase precoce è affidata alla RMN, mentre la radiologia tradizionale mostra le fasi più avanzate del processo. |
| |
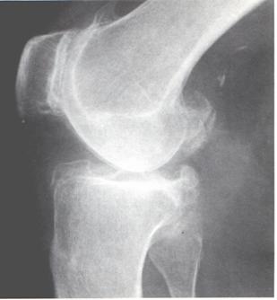
| Sindrome femoro-rotulea e condromalacia
Ci sono diverse cause, in tutte le fasce d’età (adolescenza +++; F>M), che possono alterare il rapporto tra la faccia articolare della rotula e la troclea femorale. Da questo rapporto alterato, nascono una serie di problemi biomeccanici, tutti comunque caratterizzati da un aumento di pressione sulla faccia articolare della rotula (sindrome della faccetta laterale, sindrome femoropatellare, sindrome da malallineamento, condromalacia).
In particolare è quando l’aspetto preponderante del problema è la degenerazione della cartilagine rotulea che si parla di condromalacia.
Un sovraccarico acuto (su uno sforzo continuato: ginocchio del maratoneta; o su un trauma: frattura osteocondrale), o cronico (assi articolari non fisiologici) della faccia articolare della rotula può causare dolore e portare nel tempo ad una degenerazione della cartilagine .
La condromalacia non è sempre dolorosa. A volte c’è un dolore non ben localizzabile; altre volte ancora c’è dolore lungo il bordo interno della rotula; tipicamente insorge od aumenta scendendo le scale od un pendio o tenendo il ginocchio piegato per un lungo periodo, come in auto o a cinema. Può sembrare di tanto in tanto che il ginocchio venga meno, questo è dovuto più ad una sorta di riflesso antalgico, ad un’inibizione generata dal dolore che ad una vera instabilità. Nell’accovacciarsi e nel fare le scale l’articolazione può essere rumorosa, tanto più se vi è un’importante degenerazione delle superfici articolari.
L’articolazione può gonfiarsi con pesantezza e rigidità.
La condromalacia, anche se può condurre alla degenerazione artrosica, a differenza di questa può regredire. |
| |
 |
Sintomatologia
Dolore anteriore del ginocchio, a volte camminando, correndo, saltando, ma soprattutto stando accovacciati e salendo o scendendo le scale.
Gonfiori ricorrenti, in rapporto con l’attività.
Scrosci articolari estendendo o flettendo attivamente il ginocchio.
Raramente sintomi a riposo.
Riscontri clinici
Scroscio e dolore muovendo passivamente e premendo la rotula nella gola intercondiloidea.
Dolore all’estensione attiva contro resistenza del ginocchio.
Tendino-borsite della zampa d’oca
E’ una tendinopatia, comune a sportivi e donne obese, che interessa la zona di inserzione dei muscoli gracile, semitendinoso e sartorio e si trova sulla faccia mediale della tibia a partire dalla tuberosità tibiale anteriore. E’ molto frequente nel ginocchio valgo o tendente al valgo ed in tutte quelle condizioni che mettono in tensione costante tale struttura. Un’altra condizione è la lassità del compartimento mediale del ginocchio (lesione del legamento collaterale mediale).
La sintomatologia dolorosa può essere acuta o cronica. L’esame obiettivo permette di apprezzare una tumefazione della zona talora con termotatto positivo. La palpazione permette la diagnosi differenziale con precisione. Oltre alla radiografia va eseguita una ecografia che può evidenziare , una volta assorbito l’edema, lesioni tendinee.
|
 |
| |
| Cisti di Baker
Il 40% degli individui ha una comunicazione tra la cavità articolare del ginocchio ed una borsa sierosa situata tra i tendini del gastrocnemio e del semimembranoso.
Se vi è un versamento articolare per una qualsiasi causa, in questi individui può interessare anche questa borsa provocandone il rigonfiamento.
|
| |
|
|
 |
|
I sintomi consistono in gonfiore della parte posteriore e mediale del ginocchio e dolore alla flessione massima.
Occasionalmente la cisti può rompersi provocando una sintomatologia molto acuta con dolore e gonfiore del polpaccio (pseudotromboflebite).
Se non si elimina la patologia alla base della cisti, questa recidiva inevitabilmente. |
| |
|
|
| Morbo di Osgood-Schlatter
Consiste nell’osteocondrosi dell’apofisi tibiale anteriore.
È prevalente negli adolescenti di sesso maschile, per lo più sportivi.
|
 |
|
La sintomatologia consiste in dolore vivo, riferito alla tuberosità anteriore della tibia, spontaneo e alla palpazione +++, aggravato dall’attività muscolare; la zona è spesso tumefatta.
La diagnosi è radiologica: la proiezione laterale mostra una frammentazione del nucleo di ossificazione dell’apofisi.
L’affezione ha tendenza a regredire spontaneamente, in un tempo che va da qualche settimana a mesi, per i casi più gravi, dove esita con una deformazione “a punta” della tuberosità colpita |
|
| |
| Idrartro intermittente idiopatico
Debutta in età giovanile, in genere alla pubertà; le femmine prevalgono sui maschi con un rapporto 2:1. La localizzazione è monoarticolare ed il ginocchio è l’articolazione di gran lunga più frequentemente più colpita.
L’idrartro si instaura bruscamente e regredisce dopo un intervallo, che secondo alcuni è costante per ciascun caso. Gli intervalli sono completamente asintomatici.
Durante la fase del versamento non sono apprezzabili segni di flogosi né locale né generale; non vi è arrossamento; il dolore, sempre modesto, e l’impedimento funzionale sono legati alla presenza e all’entità del versamento; non vi sono febbre, né aumento della VES o alterazione del quadro ematico; il liquido sinoviale è normale. La radiologia mette solo in evidenza un ispessimento delle parti molli, è la sinoviale che macroscopicamente appare ispessita ed iperemia (fattore meccanico su una sinoviale più reattiva?).
La diagnosi, oltre ad essere di esclusione (fase iniziale di AR +++), si basa sulla periodicità e sull’assenza di segni infiammatori, clinici e di laboratorio.
Può durare parecchi anni ed anche guarire spontaneamente. |
| |
| Menisco discoide |
 |
|
Il menisco discoide è un anomalia rara dell'articolazione del ginocchio.
Sulla eziologia di tale entità anatomica diversi sono i pareri: secondo diversi autori il menisco discoide è dovuto alla persistenza della forma fetale del menisco stesso che sarebbe appunto discoide.
La sintomatologia, che insorge già dall’infanzia, consiste in scrosci e relativa instabilità dell’articolazione, fino a quando il menisco non si rompe e comincia una sintomatologia analoga a quella della rottura di un menisco normale.
|
| |
|
|
| Plica sinoviale |
|
|
|
 |
|
Le pliche sinoviali sono residui dei setti embrionari che dividono, nel feto, la cavità articolare del ginocchio in tre compartimenti (mediale laterale e rotuleo).
La localizzazione più comune, e più spesso sintomatica, è quella mediale.
Traumi ripetuti, anche di scarsa entità, a carico dei condili, attività comportanti ripetute flesso-estensioni o traumi contusivi diretti, provocano l’infiammazione della plica ed il suo ispessimento.
Una plica ispessita è causa di fenomeni irritativi locali e di lesioni erosive della cartilagine del condilo.
I sintomi mimano quelli di una rottura meniscale: sensazione di scatto, dolore sull’emirima mediale, gonfiore, blocchi e debolezza del ginocchio.
|
| |
|
|
Osteocondrite dissecante (m. di Konig)
Si tratta di una necrosi parcellare che interessa solo una piccola parte, lenticolare, della cartilagine articolare e della corrispondente spongiosa subcondrale dell’epifisi distale del femore o dell’omero.
Compare in età giovanile, in individui robusti, in ginocchia molto sollecitate.
|
 |
Il frammento osseo, in preda a fenomeni necrotici, si demarca nettamente dal tessuto osteocartilagìneo circostante fino a distaccarsi e cadere libero. nell’articolazione (“topo” articolare).
La sintomatologia nella fase prodromica è intermittente, il dolore è scarsamente localizzato, coesistono idrartri recidivanti ed ipotrofia del quadricipite.
Nella fase successiva, quando cioè si è verificato il distacco del cosiddetto “topo” articolare, possono osservarsi fenomeni di blocco dell’articolazione, con impossibilità — se si tratta del ginocchio — a flettere ed estendere la gamba
Borsiti del ginocchio
Vi sono quattro borse attorno al ginocchio (oltre a quella della zampa d’oca) che possono infiammarsi:
|
|
 |
|
1) La borsa prerotulea, situata sulla superficie anteriore della rotula, è quella che più frequentemente può dare una borsite, su un trauma diretto o per microtraumi ripetuti.
2) Borsa della zampa d’oca, medialmente al tendine rotuleo e circa 3 cm. distalmente all’interlinea articolare.
3) Borsa infrarotulea superficiale, superficialmente al tendine rotuleo.
4) Borsa infrarotulea profonda, sempre rispetto al tendine, sia questa che la precedente sono raramente affette da processi infiammatori.
5) Borsa del semimembranoso, un po’ più prossimale rispetto a quella della zampa d’oca. |
| Tendinite femorale e rotulea (ginocchio del saltatore) |
 |
|
Come tutte le tendiniti, derivano da sovraccarico del tendine, con microlesioni ed infiammazione e dolori conseguenti.
Nei casi estremi i tendini possono essere danneggiati fino alla completa rottura.
|
| Tendinite del popliteo |
 |
|
|
|
| Sindrome della bandelletta ileotibiale (ginocchio del corridore) |
 |
|
È caratterizzata da dolore della faccia laterale del ginocchio, dovuto ad infiammazione della parte distale della bandelletta di Maissat, e delle strutture sottostanti (borsa e periostio), nel punto in cui incrocia l’epicondilo laterale del femore.
È una sindrome da sovraccarico, dovuto allo sfregamento ripetitivo della bandelletta sulla struttura ossea sottostante
 |
|
 |
La bandelletta iliotibiale è una struttura fasciale, che parte dal tubercolo della cresta iliaca, dando inserzione al gluteo massimo e al tensore della fascia lata, continua sulla faccia laterale della coscia e in ultimo, unendosi col retinacolo della rotula, si attacca sul tubercolo laterale della tibia (di Gerdy) e sulla testa del perone.
A questo livello una borsa sierosa facilita lo scivolamento della bandelletta sul condilo laterale.
|
 |
|
La prima funzione della bandelletta iliotibiale è quella di stabilizzare in lateralità l’arto inferiore ed il bacino.
Quando il ginocchio si flette di oltre 30° la bandelletta scivola dietro al condilo, quando si estende passa davanti, la ripetizione di questo movimento, se vi è sovraccarico in questa zona, può provocare infiammazione.
Tra le cause del sovraccarico:
allenamenti troppo intensi o mal condotti
condili laterali troppo prominenti
ginocchio varo
catene laterali retratte
|
| |
| |
| |
| |
| |
|